John Hopkins, DDS - Centre for Smile Designs

En la ciudad de Gulfport, Estados Unidos, la odontología de precisión y el cuidado personalizado se unen en el consultorio dental del Dr. John Hopkins, DDS, en el Center for Smile Designs, donde la experiencia y la tecnología de vanguardia se combinan para brindar sonrisas renovadas y saludables a la comunidad local.
3303 A Ave, Gulfport, MS 39507
(228) 809-8333
El Centre for Smile Designs de John Hopkins, DDS, ubicado en 3303 A Ave, Gulfport, MS 39507, ofrece servicios de alta calidad en odontología, brindando cuidado personalizado a sus pacientes a través de su equipo de profesionales calificados. Con un enfoque en brindar soluciones estéticas y funcionales, el centro destaca por su dedicación a mejorar las sonrisas y la salud bucal, estando disponibles para consultas al (228) 809-8333 o a través de su sitio web https://johnhopkinsdds.com/, brindando así una experiencia accesible y de calidad a todos sus pacientes.
| Viernes | 9 a.m.–12 p.m. |
| Sábado | Cerrado |
| Domingo | Cerrado |
| Lunes | 9 a.m.–5 p.m. |
| Martes | 9 a.m.–5 p.m. |
| Miércoles | 9 a.m.–5 p.m. |
| Jueves | 9 a.m.–5 p.m. |
-
Mas Informacion
- ¿Cuál es la dirección y el horario de atención de John Hopkins, DDS - Centre for Smile Designs?
- ¿Qué servicios ofrecen en John Hopkins, DDS - Centre for Smile Designs?
- ¿Cómo califican los pacientes a John Hopkins, DDS - Centre for Smile Designs?
- ¿Cómo se puede contactar a John Hopkins, DDS - Centre for Smile Designs?
Mas Informacion
¿Cuál es la dirección y el horario de atención de John Hopkins, DDS - Centre for Smile Designs?
La clínica John Hopkins, DDS - Centre for Smile Designs está ubicada en 3303 A Ave, Gulfport, MS 39507. Aunque no se proporciona directamente el horario de atención en la información disponible, es posible encontrar su horario y contactarlos para confirmar llamando al (228) 809-8333 o visitando su sitio web en https://johnhopkinsdds.com/.
¿Qué servicios ofrecen en John Hopkins, DDS - Centre for Smile Designs?
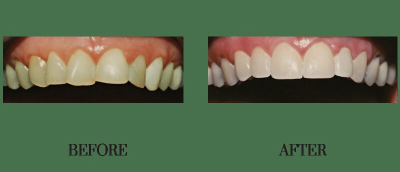
John Hopkins, DDS - Centre for Smile Designs ofrece una variedad de servicios enfocados en la estética dental, los cuales podrían incluir desde blanqueamientos dentales y diseños de sonrisa personalizados hasta otros tratamientos relacionados con la salud bucal y el embellecimiento del sonreir.
¿Cómo califican los pacientes a John Hopkins, DDS - Centre for Smile Designs?
John Hopkins, DDS - Centre for Smile Designs cuenta con una calificación muy positiva por parte de sus pacientes, alcanzado una puntuación de 4.9, lo cual refleja un alto nivel de satisfacción general con el servicio y la atención recibida, según se reporta.
¿Cómo se puede contactar a John Hopkins, DDS - Centre for Smile Designs?
Para más información o para contratar los servicios de John Hopkins, DDS - Centre for Smile Designs, puede contactarlos directamente a través del número de teléfono (228) 809-8333 o bien acceder a su página web oficial en https://johnhopkinsdds.com/, que ofrece otra forma de conseguir información actualizada y contactar con ellos facilitando una petición de cita a través de ésta.
